【抜歯痛い?】歯列矯正のための抜歯日記1
昨日、2本抜歯してきました。
抜いたのは上右第一小臼歯と下右第二小臼歯。
上の前から4番目と下の前から5番目です。
来週も反対側の上下2本を抜歯するのですが、右側の方が奥の歯を抜くので目立たないということで、右の上下を抜いてきました。
麻酔や抜歯後の止血で全部で40分くらいかかったと思いますが、実際に歯を抜いた時間は上下で3分くらいだったと思います。
麻酔をしているので全く痛くはなかったです。
ただ、ミシッミシミシッブチブチッって音が聞こえて抜けたので、それがめちゃくちゃ怖かったです。
上下2本抜けた後で怖すぎて動機がしました。
来週またやるのが少し憂鬱です。
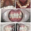
抜けた後の見た目はこんな感じです。

写真でいうと、左側です。
正面で軽く笑うくらいだったらそんなに目立たないかな?

ちょっと口を大きく開けると暗闇がw

横から見るとこんな感じ。
口が小さいので笑ってもそこまで見えませんが、器具つけるまでは謎の歯抜け女なのでちょっと気になるかな。
今週仕事で30人くらいの前で1時間喋る機会があるのがちょっと嫌ですが、まあなんとかなりそうです。
抜くときは痛みもなく、麻酔が切れた後も一応ロキソニンは飲んでいたものの痛みはなかったです。
ただ血が止まらなくて気がついたらマスクが血に染まっていて焦りました。
電車で乗り合わせた方をビビらせてしまったかもしれません。すみません。笑
歯を抜いただけで土曜日が終わるのが悔しくて、血を吐きながら検察側の罪人を見て帰宅しました。
歯列矯正のために健康な歯を抜くのは、保険外治療になります。
この日は2本抜歯と薬代で14,010円でした。